23
wrz 2022
Zęby zatrzymane. Opis i metody postępowania
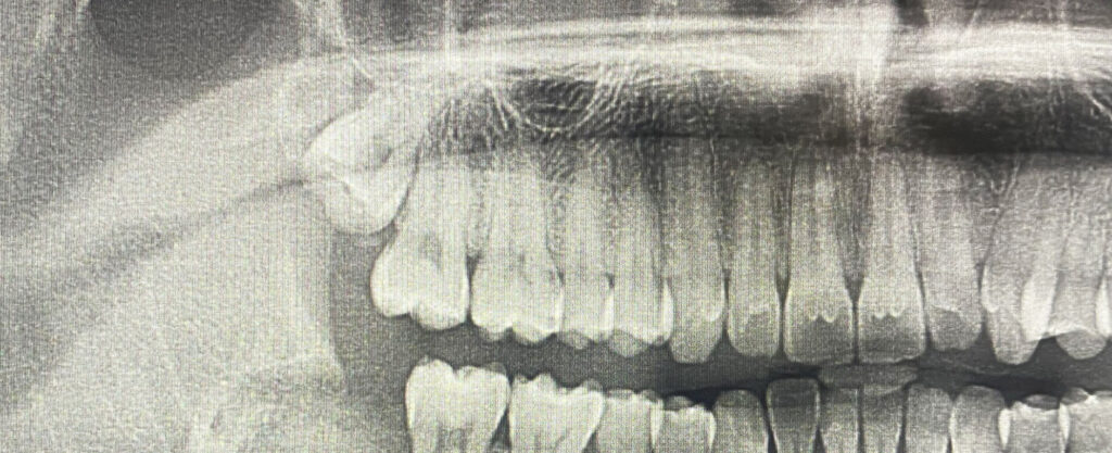
Zęby, które nie wyrżnęły się do końca określa się mianem zęby zatrzymane. Zazwyczaj problem ten dotyczy ósemek, ale nie zawsze. Czasami zatrzymują się też górne trójki i jedynki, a także dolne zęby przedtrzonowe.
Zęby zatrzymane – przyczyny powstawania
Wśród przyczyn zjawiska przede wszystkim wymienia się nieprawidłowe lub zbyt ciasne ułożenie zębów w łuku zębowym. Ograniczona w ten sposób przestrzeń zwiększa ryzyko niewłaściwego wyrzynania zębów. Zęby zatrzymane mogą też mieć podłoże genetyczne, powstają wskutek wad wrodzonych, nabytych (np. guzy szczęki lub torbiele), mogą też takiemu stanowi rzeczy być winne niektóre choroby. Za zjawisko odpowiadają również niedobory witamin: A i D.
Konsekwencje zębów zatrzymanych
Jeśli ząb zatrzymany zarośnie dziąsło, inne zęby lub kość, może dojść do groźnych powikłań, np. zapalenie dziąsła czy torbiel. Przez gromadzenie się resztek pokarmowych oraz bakterii pod dziąsłem wokół korony może pojawić się stan zapalny, któremu towarzyszą: ból, opuchlizna twarzy, policzków, szyi, a także nieprzyjemny oddech. Resorbcję przylegających zębów, przemieszczanie się pozostałych zębów oraz pojawianie się zębopochodnych guzów szczęki również zalicza się do konsekwencji zębów zatrzymanych.
Jak postępować z zębami zatrzymanymi?
Przede wszystkim oczywiście należy udać się do dentysty! Na podstawie przeglądu i zdjęcia RTG stomatolog oceni charakter problemu i dobierze właściwą metodę postępowania. Najczęściej jest to chirurgiczne usunięcie zatrzymanego zęba: chirurg dokonuje nacięcia dziąsła, żeby uzyskać dostęp do zatrzymanego zęba. W przypadku zatrzymania częściowego, specjalista rozcina błonę śluzową nad zębem, natomiast przy zębie całkowicie zatrzymanym w kości uzyskuje dostęp do niego wycinając niedużą część kości nad zębem. Rozpreparowanie korzeni jest następnym krokiem, po nim zaś dochodzi do dłutowania (rozchwiania korzeni za pomocą dźwigni). W ostatnim kroku wyjmuje korzenie za pomocą kleszczy chirurgicznych.
Jednak nie zawsze ząb zatrzymany trzeba usuwać. Niekiedy zupełnie wystarcza przeprowadzenie ściągania zęba za pomocą leczenia ortodontycznego. Taki ząb najpierw należy odsłonić chirurgicznie, a następnie przeprowadza się leczenie aparatem ortodontycznym. Taki proces czasami może trwać nawet dwa lata, jednak przynosi efekty. A ponieważ pozwala pozbyć się problemu bez ekstrakcji zęba, jest to opcja często wybierana w przypadkach, gdy w grę wchodzi któryś z przednich zębów.




